Ангиография — медицинская процедура для визуализации кровеносных сосудов с использованием рентгеновского излучения и контрастных веществ. Она важна для диагностики и лечения заболеваний сердечно-сосудистой системы, а также для выявления сосудистых аномалий. В статье рассмотрим, что такое ангиография, как она проводится, ее виды и показания, чтобы читатели поняли значимость этой процедуры для здоровья.
Ангиография. Что это такое?
Это метод диагностики, который исследует сосуды с помощью введения контрастного вещества в артерии или вены и последующей рентгенографической съемки. На изображениях видны анатомия сосудов, участки сужения или расширения, препятствия для кровотока (тромбы, эмболы), кровоснабжение опухолей и наличие кровотечений. Ангиография делится на несколько видов:
- Ангиография с катетером для введения контрастного вещества.
- Магнитно-резонансная ангиография, где изображения получают с помощью МРТ.
- КТ-ангиография, выполняемая на компьютерном томографе, позволяющая получать послойные снимки сосудов с интервалом 1,5 мм.
- Допплерография или дуплексное сканирование – ангиография с использованием ультразвука, оценивающая структуру артерий и вен, а также скорость кровотока.
Ангиография применяется для изучения сосудов головного мозга (церебральная ангиография), шеи, сердца (коронарная ангиография), почек и сетчатки глаз. Исследование сосудов конкретного органа называется селективной ангиографией, а анализ всех сосудов организма – общей ангиографией.
Ангиография – важный диагностический инструмент для визуализации и оценки состояния кровеносных сосудов. Этот метод эффективен для выявления заболеваний сердечно-сосудистой системы, таких как атеросклероз, тромбы и аневризмы. Ангиография предоставляет детализированные изображения, что способствует точной диагностике и выбору оптимального лечения.
Ангиографию можно проводить как с рентгеновским оборудованием, так и с магнитно-резонансной томографией. Несмотря на информативность, процедура требует предварительной подготовки пациента и может иметь противопоказания. Врачи рекомендуют обсуждать риски и преимущества с пациентами для обеспечения безопасности и эффективности исследования.
Ангиография представляет собой важный диагностический метод, используемый для визуализации кровеносных сосудов. Эксперты в области медицины отмечают, что данная процедура позволяет врачам оценить состояние артерий и вен, выявляя различные патологии, такие как атеросклероз, тромбы или аневризмы. С помощью ангиографии можно не только диагностировать заболевания, но и планировать хирургическое вмешательство, если это необходимо. Процедура включает введение контрастного вещества, что позволяет получить четкие изображения сосудов на рентгеновских снимках. Специалисты подчеркивают, что ангиография является безопасной и эффективной, хотя, как и любая медицинская процедура, может иметь свои риски. В целом, этот метод играет ключевую роль в современной диагностике и лечении сердечно-сосудистых заболеваний.

Методика проведения ангиографии
Перед началом процедуры пациенту обязательно проводится седация (введение успокоительного вещества-транквилизатора) и десенсибилизация (введение антигистаминного препарата). Обезболивание проводится местно путем введения лидокаина подкожно, обязательно нужно уточнить, нет ли аллергии на этот препарат. При необходимости флебографии (исследовании венозной сети) контрастное вещество вводят в вену, как правило, в одну из вен стопы. При необходимости артериографии (исследования артериального русла) в коже делают надрез, так как артерии лежат глубже вен. При артериографии в сосуд вводят сначала проводник (интродьюсер), через него вводят катетер. Под контролем рентген-аппарата катетер продвигают до необходимого для исследования сосуда, а затем вводят контрастное вещество. После этого проводят серию рентген-снимков.
| Тип ангиографии | Метод исследования | Преимущества | Недостатки |
|---|---|---|---|
| Цифровая субтракционная ангиография (ЦСА) | Рентгеновское излучение с компьютерной обработкой | Высокая детализация изображения, быстрая обработка, низкая доза облучения (по сравнению с традиционной ангиографией) | Использование ионизирующего излучения, риск аллергических реакций на контрастное вещество, возможны артефакты на изображении |
| Магнитная резонансная ангиография (МРА) | Магнитное поле и радиоволны | Отсутствие ионизирующего излучения, хорошая визуализация сосудов мягких тканей | Дольше по времени, чувствительна к движениям пациента, может быть менее информативна при некоторых патологиях, высокая стоимость |
| Компьютерная томографическая ангиография (КТА) | Рентгеновское излучение с компьютерной томографией | Быстрое сканирование, детальная трехмерная реконструкция сосудов | Использование ионизирующего излучения, более высокая доза облучения, чем при МРА, аллергические реакции на контрастное вещество возможны |
Интересные факты
Вот несколько интересных фактов об ангиографии:
-
Методы визуализации: Ангиография может проводиться с использованием различных методов визуализации, включая рентгенографию, компьютерную томографию (КТ) и магнитно-резонансную томографию (МРТ). Это позволяет врачам получать детализированные изображения кровеносных сосудов и выявлять различные патологии, такие как атеросклероз или аневризмы.
-
Контрастные вещества: Для ангиографии используется контрастное вещество, которое вводится в кровеносные сосуды. Это вещество помогает улучшить видимость сосудов на изображениях. Современные контрастные агенты имеют минимальные побочные эффекты и быстро выводятся из организма.
-
Широкий спектр применения: Ангиография не только используется для диагностики заболеваний сердца и сосудов, но и для оценки состояния сосудов в других частях тела, таких как мозг, легкие и конечности. Это делает ангиографию важным инструментом в различных областях медицины, включая кардиологию, неврологию и онкологию.

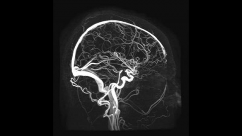
МР-ангиография сосудов головного мозга, для чего применяется?
Метод анализа сосудов головного мозга позволяет выявить сужения, расширения артерий, аневризмы, опухоли и аномалии в строении сосудов. Эта диагностика важна для предотвращения инсульта и выяснения причин головной боли, головокружения и потери сознания. Исследование назначается при подозрении на ангиому, другие опухоли, после черепно-мозговой травмы или образовании гематомы. Контрастное вещество вводится через плечевую, локтевую, надключичную или правую бедренную артерии с установкой катетера, который продвигается до нужного разветвления. Затем выполняется съемка на магнитно-резонансном томографе.
Ангиография — медицинская процедура для визуализации кровеносных сосудов с помощью рентгеновских лучей и контрастного вещества. Пациенты отмечают, что исследование помогает выявить атеросклероз, тромбы и аневризмы. Оно позволяет врачам точно оценить состояние сосудов и принять меры при сердечно-сосудистых заболеваниях. Хотя процедура может вызывать небольшой дискомфорт, она считается безопасной и информативной. Результаты ангиографии важны для планирования лечения, что вселяет уверенность в пациентов.
Ангиография сердца
Этот вид исследования применяется для диагностики состояния коронарных артерий, снабжающих кровью сердечную мышцу. Их спазм (сужение) – основная причина инфарктов миокарда. Для проведения метода катетер вводят в бедренную или лучевую артерии, под контролем флюорографа доводят его до аорты в месте ответвления коронарных артерий, а затем вводят контраст. Ангиографию коронарных артерий назначают пациентам с ишемической болезнью сердца, при подозрении на инфаркт миокарда или в предынфарктном состоянии, при подозрении на врожденную аномалию коронарных сосудов.
Ангиография почек
Обследование сосудов проводится при подозрении на опухоли в почках, для подтверждения или опровержения диагноза камней, а также при тромбозах вен или артерий почек и гидронефрозе, связанном с нарушением оттока мочи и увеличением почечных лоханок.
В каких случаях ангиография противопоказана?
- Воспалительные или инфекционные процессы в организме. Наличие вирусов или бактерий в крови может спровоцировать развитие флебита или артериита (воспаления сосудистой стенки) при введении катетера и контрастного вещества.
- Аллергическая реакция на контрастное вещество или препараты йода – абсолютное противопоказание к проведению ангиографии.
- Нарушения со стороны свертывающей способности крови. При повышенной свертываемости введение катетера может спровоцировать образование тромба, при сниженной свертываемости – возможно развитие кровотечения.
- Расстройства психики у пациента. Наличие психических отклонений затруднит проведение процедуры, так как во время проведения ангиографии врачу необходимо четкое выполнение пациентом всех инструкций, а также ему важно знать о самочувствии пациента.
- Сердечная недостаточность второй степени и выше. Это повышает риск осложнений при проведении исследования, так как во время ангиографии в результате волнения пациента могут резко измениться цифры артериального давления.
- Острая почечная недостаточность. При этом состоянии выведение мочи замедлено, что может привести к задержке контрастного вещества в организме, а это – недопустимо.
- Печеночная недостаточность. При артериографии контрастное вещество проходит через сосуды печени. При нарушении ее работы контраст может оказать токсическое действие на организм.
- Беременность пациентки или период лактации. Облучение ионизирующим излучением противопоказано при беременности или кормлении грудью, поскольку это опасно как для плода, так и для кормящей матери.

Преимущества и недостатки ангиографии
Ангиография – это медицинская процедура, которая позволяет визуализировать кровеносные сосуды с помощью рентгеновского излучения и контрастного вещества. Она используется для диагностики различных заболеваний, связанных с сосудами, таких как атеросклероз, тромбы, аневризмы и другие сосудистые патологии. Однако, как и любая медицинская процедура, ангиография имеет свои преимущества и недостатки.
Преимущества ангиографии:
- Высокая точность диагностики: Ангиография позволяет получить четкие изображения сосудов, что помогает врачам точно диагностировать заболевания и определять их степень тяжести.
- Минимально инвазивная процедура: В отличие от открытых хирургических вмешательств, ангиография является менее инвазивной, что снижает риск осложнений и ускоряет восстановление пациента.
- Возможность лечения: В некоторых случаях ангиография может быть использована не только для диагностики, но и для лечения. Например, во время процедуры можно провести ангиопластику или установить стент для расширения суженных сосудов.
- Широкий спектр применения: Ангиография может быть использована для исследования различных сосудов, включая коронарные артерии, артерии головного мозга, легочные сосуды и периферические сосуды.
Недостатки ангиографии:
- Риск аллергических реакций: Использование контрастного вещества может вызвать аллергические реакции у некоторых пациентов, что требует предварительной оценки состояния здоровья и возможных аллергий.
- Облучение: Процедура связана с облучением рентгеновскими лучами, что может быть нежелательным, особенно для беременных женщин и детей.
- Осложнения: Хотя ангиография считается безопасной процедурой, в редких случаях могут возникнуть осложнения, такие как кровотечения, инфекции или повреждения сосудов.
- Необходимость подготовки: Перед проведением ангиографии пациенту может потребоваться специальная подготовка, включая голодание и отмену некоторых лекарств.
Таким образом, ангиография является важным инструментом в диагностике и лечении сосудистых заболеваний. Однако, прежде чем принимать решение о проведении этой процедуры, пациентам следует обсудить все возможные риски и преимущества с врачом, чтобы сделать информированный выбор.
Вопрос-ответ
Как проходит процедура ангиографии?
Ангиография проводится следующим образом: катетер заводится в сосуд бедренной артерии и затем направляется к сонной. Далее в сосуды подаётся контрастное вещество, и затем выполняется серия мгновенных рентгеновских снимков. При необходимости во время церебральной ангиографии можно выполнять хирургические манипуляции.
Что может показать ангиография?
Ангиография — это рентгеновское исследование, визуализирующее кровоток в венах, артериях и камерах сердца. Ангиография используется для обнаружения сужений или закупорки артерий. Также можно обнаружить сгустки крови, отложения кальция, ослабления и выпячивания стенок артерий (аневризмы).
В чем разница между ангиографией и коронарографией?
В отличие от коронарографии, МСКТ-ангиография не требует госпитализации, проведения специальных инструментов к сердцу и занимает всего несколько минут. Неинвазивность. Не требуется госпитализация: МСКТ-ангиография проводится в амбулаторных условиях и занимает всего несколько минут.
Какие последствия после ангиографии?
После проведения ангиографии могут образовываться гематомы в месте прокола. В редких случаях наблюдается аллергия на контрастное вещество, даже если предварительная проба её не показала.
Советы
СОВЕТ №1
Перед проведением ангиографии обязательно проконсультируйтесь с врачом. Обсудите все свои медицинские истории, аллергии и принимаемые лекарства, чтобы избежать возможных осложнений.
СОВЕТ №2
Убедитесь, что вы понимаете процесс ангиографии. Задавайте вопросы своему врачу о том, как будет проходить процедура, какие ощущения вы можете испытать и как долго продлится восстановление.
СОВЕТ №3
После ангиографии следуйте всем рекомендациям врача по восстановлению. Это может включать в себя отдых, ограничение физической активности и наблюдение за местом введения катетера на наличие возможных осложнений.
СОВЕТ №4
Не забывайте о важности последующего наблюдения. После ангиографии может потребоваться дополнительное обследование или лечение, поэтому важно соблюдать все назначения врача и проходить контрольные осмотры.

